![]()
大肠憩室是种什么病 严重吗 网易订阅

大腸憩室症 元氣網

大腸憩室發炎認識大腸憩室炎 Patry Kdas

The Specialists

憩室炎 にしむら内科クリニック 浦和の内科 消化器内科 内視鏡クリニックです

腸子有凹洞 發炎嚴重竟致穿孔阻塞 大腸憩室炎7個症狀別耽擱 早安健康
![]()
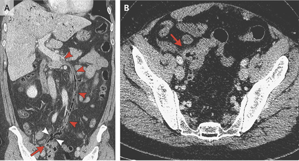
小腸憩室炎 嘉義長庚一般外科

大腸憩室炎的症狀與治療 健談havemary Com 圖解健康生活大小事

初期結腸憩室炎的診斷 人生沒有用不到的經歷 痞客邦
![]()
憩室炎 维基百科 自由的百科全书
![]()
大腸憩室炎 嘉義長庚一般外科